手机版 | 登陆 | 注册 | 留言 | 设首页 | 加收藏
当前位置: 网站首页 > 视频图谱 > 牧医图谱 > 文章

一例犬肛周肿瘤的诊治体会(图)

时间:2019-02-17    点击: 次    来源:宠之情宠物医师网    作者:邱昌伟 - 小 + 大

1.5.2肿瘤切除术

1、在肿瘤边缘正常皮肤上做环切,钝性分离肿瘤,结扎血管。

2、在分离靠近直肠的肿瘤时,可让助手在直肠内插入手指,避免扎破直肠。同时,注意周围神经的分布,以免剪断神经。

3、结节缝合皮下组织和皮肤。

1.5.3术后恢复

常规消炎治疗10天,后期患犬排尿排便均正常。

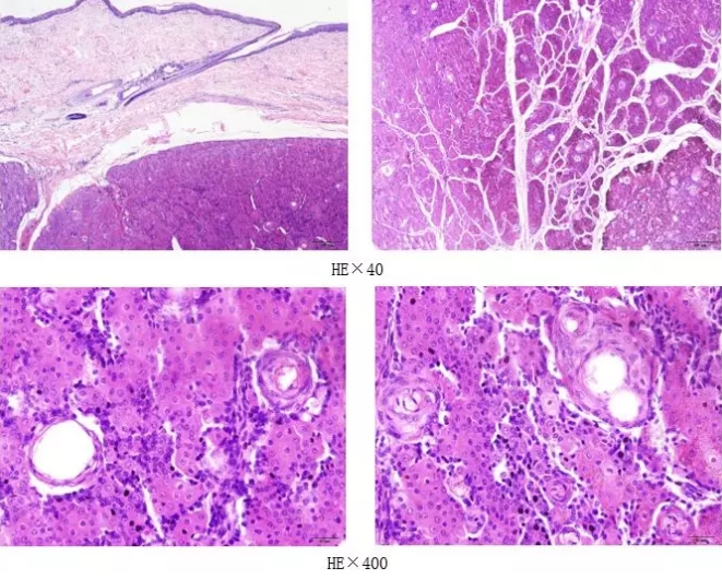
1.6病理组织切片

病理结果:肛周皮脂腺肿瘤。胞内有大量嗜酸性颗粒,可见有不同分化程度的皮脂腺腺细胞,部分呈鳞状细胞样,颗粒细胞一般。大部分的腺细胞核型正常,癌变细胞促发周围的平滑肌增生,皮脂腺和毛囊增生异常。良性肿瘤。

上一篇:非洲猪瘟等几种重要猪传染病临床快速分辨(图)

下一篇:一例鸡坏死性肠炎的诊治(图)

网站地图 | 服务条款 | 联系方式 | 关于阳光
冀公网安备 13050002001403号

|

建议使用1440*900分辨率浏览 
冀ICP备14003538号  |   QQ:472413691  |  电话:0319—3163003  |