手机版 | 登陆 | 注册 | 留言 | 设首页 | 加收藏
当前位置: 网站首页 > 视频图谱 > 牧医图谱 > 文章

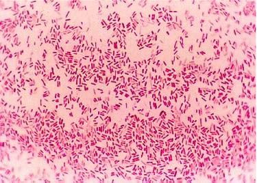
大肠杆菌菌落及菌体图片

时间:2010-10-08    点击: 次    来源:阳光畜牧网    作者:阳光畜牧网 - 小 + 大

大肠杆菌伊红美兰培养菌落形态

大肠杆菌显色培养基菌落形态

大肠杆菌显微图片形态

上一篇:巴氏杆菌菌落及菌体图片

下一篇:牛出血性败血症解剖图片

网站地图 | 服务条款 | 联系方式 | 关于阳光
冀公网安备 13050002001403号

|

建议使用1440*900分辨率浏览 
冀ICP备14003538号  |   QQ:472413691  |  电话:0319—3163003  |